Пример работы 4


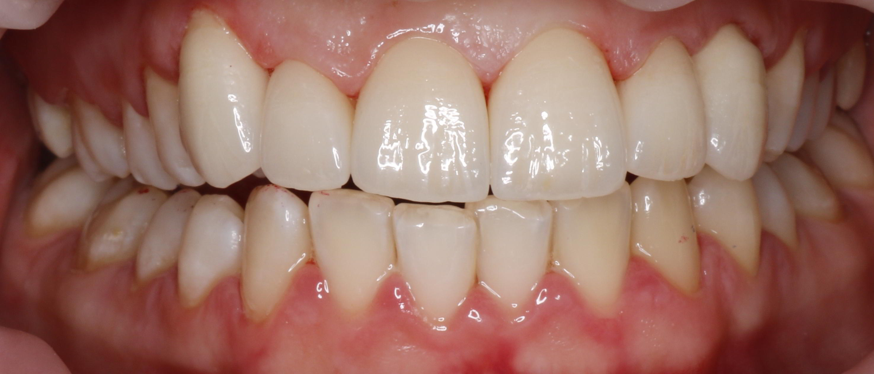
В данной истории лечебный план должен был включать исключительно ортодонтическое лечение. Но от брекетов девушка отказалась. Проведено эндодонтическое лечение клыков (1.3 и 2.3) и их значительная обработка. В 1.3 зубе - вкладка из диоксида циркония. Четыре резца (1.2, 1.1, 2.1, 2.2) - виниры. Клыки (1.3, 2.3) восстанавлены коронками. IPS E. max.


