Пример работы 10


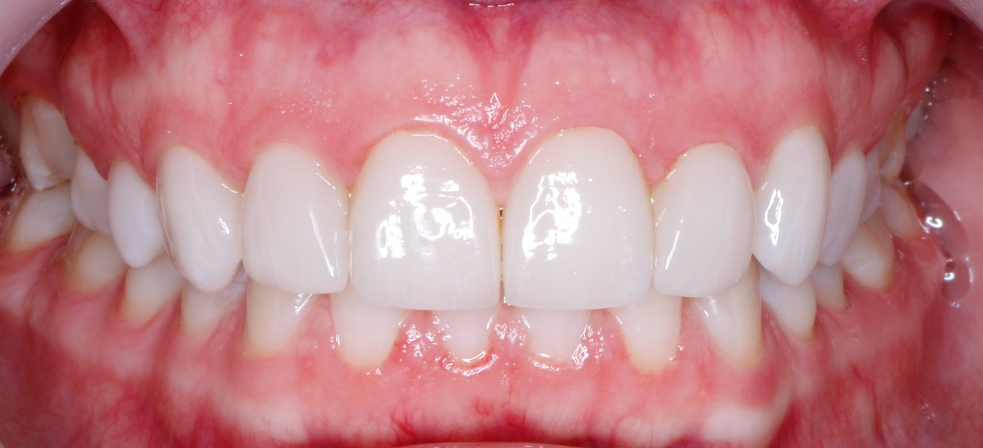
Нередко наши пациенты просят восстановить внешний вид зубов, не прибегая к их обработке. Ситуация во рту должна складываться таким образом, чтобы накладки не привели к избыточному объему. У данной пациентки все складывалось удачно, сама природа позаботилась о пространстве (укороченные резцы, стираемость передней поверхности). Были сняты слепки, пару примерок и на восемь верхних передних зубов (с 1.4 по 2.4) были зафиксированы люминиры. IPS E. max.


