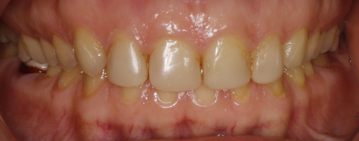
Пример работы 11


Повышаются эстетические требования наших пациентов. Обратившаяся молодая женщина была недовольна внешним видом своих зубов (промежутки между передними зубам, устаревшие композитные реставрации, стираемость). Тотальная реабилитация с помощью цельнокерамических виниров, коронок IPS E .max. Цвет А1 VITA.


